Skip to main content

ToolGroups

Introduction

As discussed in the Tools section, in order to use a Tool you should fist add the tool via CornerstoneTools3D.addTool() AND then add and set them active on viewports via Tool Groups.

Tool Groups are a new concept in the Cornerstone libraries. The goal of ToolGroup is to define a simple way to define tool behavior in a per viewport/per tool fashion. In addition, via a common ToolGroup viewports can share the same configuration, modes and tools.

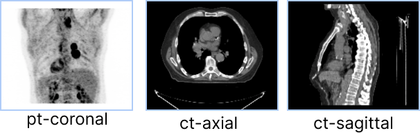
Consider the following set of viewports, and the desired behavior for scrolling and panning.

For ct-axial and ct-sagittal viewports, we want to enable scrolling by mouse wheel and panning by mouse middle button drag. However, for the pt-coronal which is a Maximum Intensity Projection (MIP) viewport, scrolling through slices has no meaning, and desired behavior is to rotate the MIP volume by mouse wheel and disable panning.

Important

There is a one-to-one relationship between viewports and tool groups. In other words, no viewport can be part of more than one tool group.

ToolGroup Creation and Tool Addition

ToolGroups are managed by a ToolGroupManager. Tool Group Managers are used to create, search for, and destroy Tool Groups.

Currently ToolGroups are not optional, and in order to use a tool you should create a toolGroup and add it to the toolGroup.

ToolGroupManager can be utilized to create a tool group using createToolGroup.

import { ToolGroupManager } from '@cornerstonejs/tools';

const toolGroupId = 'ctToolGroup';
const ctToolGroup = ToolGroupManager.createToolGroup(toolGroupId);

// Add tools to ToolGroup
// Manipulation tools
ctToolGroup.addTool(PanTool.toolName);
ctToolGroup.addTool(ZoomTool.toolName);
ctToolGroup.addTool(ProbeTool.toolName);

Adding Viewports to ToolGroups

Viewports should be added to the ToolGroup using addViewport.

// Apply tool group to viewport or all viewports rendering a scene
ctToolGroup.addViewport(viewportId, renderingEngineId);
Why we need to pass `renderingEngineId`?

The reason is viewportIds are unique to a rendering engine. You can have multiple rendering engines that include different viewports with the same viewportId.

Activating a Tool

You can use setToolActive for each toolGroup to activate a tool providing a corresponding mouse bindings key.

// Set the ToolGroup's ToolMode for each tool
// Possible modes include: 'Active', 'Passive', 'Enabled', 'Disabled'
ctToolGroup.setToolActive(LengthTool.toolName, {
bindings: [{ mouseButton: MouseBindings.Primary }],
});
ctToolGroup.setToolActive(PanTool.toolName, {
bindings: [{ mouseButton: MouseBindings.Auxiliary }],
});
ctToolGroup.setToolActive(ZoomTool.toolName, {
bindings: [{ mouseButton: MouseBindings.Secondary }],
});
ctToolGroup.setToolActive(StackScrollMouseWheelTool.toolName);

Other Tool modes can also be set using setToolEnabled, setToolPassive, and setToolDisabled.

ToolGroup Manager

Other methods for managing ToolGroups are available via ToolGroupManager.

getToolGroupForViewport

returns the ToolGroup for a given viewport, read more here

getToolGroup

returns the ToolGroup for a given toolGroupId

destroyToolGroup

destroys a ToolGroup